Фото до и после устранения опухоли нижней челюсти
фото до и после, пластический хирург Дикарев Алексей Сергеевич
- Операция
- Фейслифтинг
- Детали
- Устранение опухоли нижней челюсти
- Результат
- 2 недели
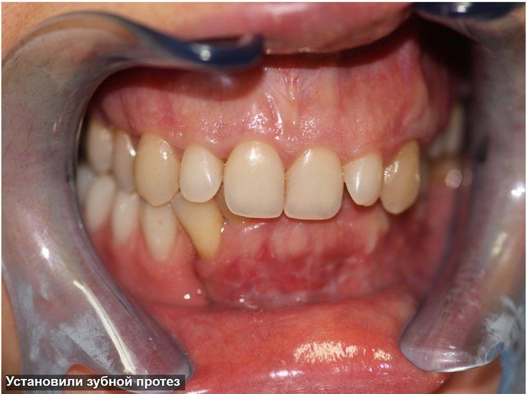
Результат и последующая динамика, после проведения операции по устранению опухоли нижней челюсти. Примечательно, что опухоль удаляется только с сегментом нижней челюсти, который заменяется малоберцовой костью с ноги с комплексом тканей. При этом ноги остаются целыми, пациент ходит без трости, может бегать. Также пациентке был установлен несъёмный зубной протез — полноценная замены "родным" зубам. Это и психотерапия для пациентки – она преобразилась и стала уверенней в себе. Дальнейшая динамика – показана на втором фото.


Похожие фото
Сортировать по:
Оставить свой комментарий



